Novel treatment of Yttrium-90 radioembolization-induced liver disease (REILD) with defibrotide in a pediatric liver transplant recipient
Elise Kang1, Mercedes Martinez1, Diane George2, Sidney Z Brejt3, Michael Lee4, Darrell Yamashiro2, Amanda Cantor1, Urvi Kapoor2, Steven Lobritto1, Joshua Weintraub3, Pooja Reddy Spector1.
1Division of Pediatrics, Columbia University Irving Medical Center, New York, NY, United States; 2Division of Pediatric Hematology/Oncology/Stem Cell Transplantation, Columbia University Irving Medical Center, New York, NY, United States; 3Division of Interventional Radiology, Columbia University Irving Medical Center, New York, NY, United States; 4Division of Pathology, Columbia University Irving Medical Center, New York, NY, United States
Introduction: Radioembolization-induced liver disease (REILD) is a potentially fatal, rare, known complication of Yttrium-90 radioembolization (Y-90 RE). The clinical presentation of REILD mimics hepatic veno-occlusive disease (VOD), sharing features including hyperbilirubinemia, coagulopathy, and ascites. VOD in pediatric bone marrow transplant recipients is commonly treated with defibrotide. While steroids and ursodiol have been suggested as treatments for REILD, no guidelines exist. We present a case of a REILD that developed in a pediatric liver transplant recipient, likely secondary to Y-90 successfully treated with defibrotide.
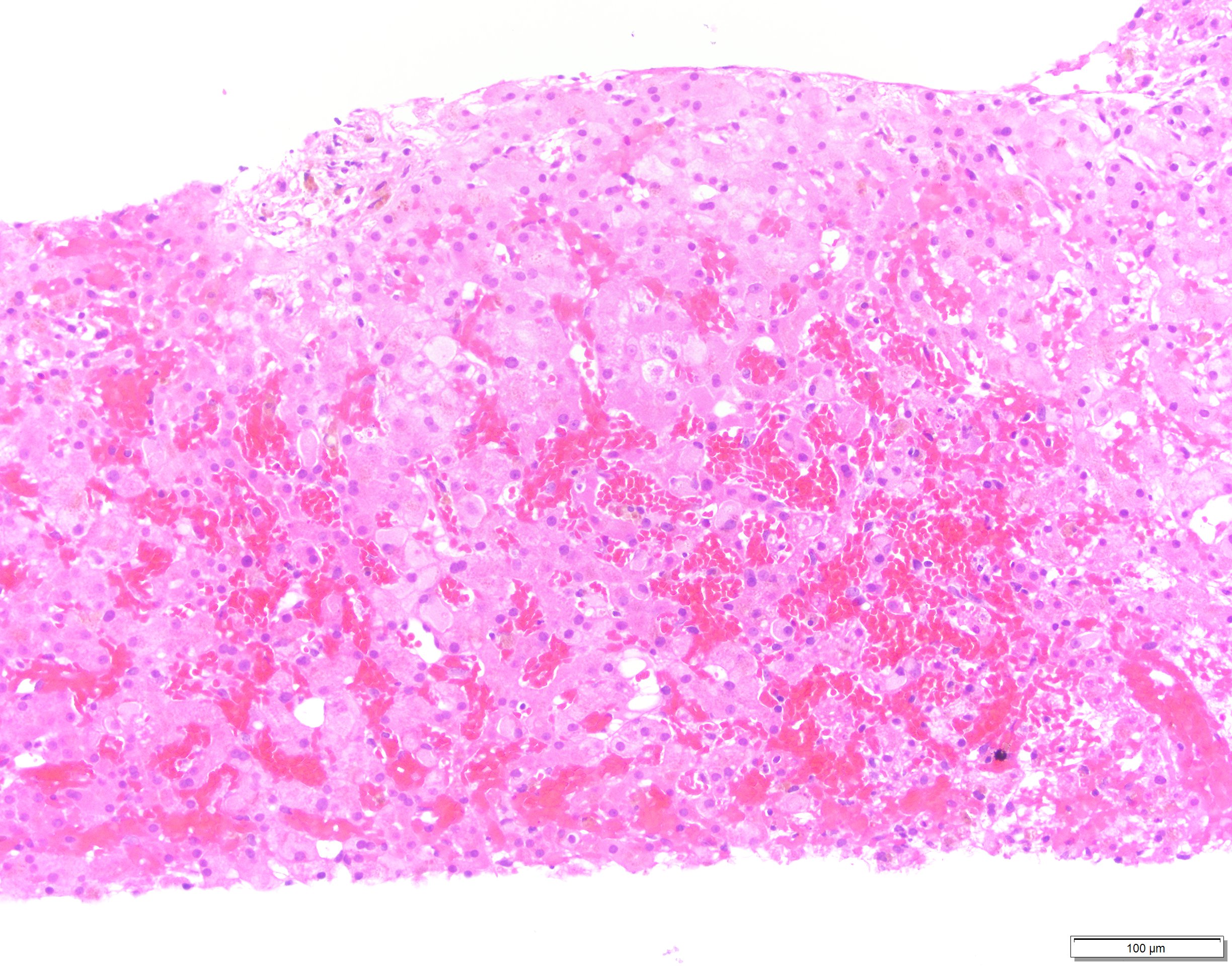
Case presentation: A 5-year-old male transplanted for PRETEXT-III hepatoblastoma however with explant showing >99% hepatocellular carcinoma developed recurrent disease in the transplanted liver. He received two sessions of Y-90 RE. One month later, he developed ascites. MRI demonstrated persistent hepatic lesions, heterogeneous parenchymal enhancement, patent vessels, and large-volume ascites. A liver biopsy for abnormal liver chemistries (AST 533/ALT 274, Tbili 1.1/Dbili 0.6, INR 2.3) demonstrated diffuse sinusoidal dilatation resembling VOD with no evidence of rejection. Ascitic fluid studies were consistent with portal hypertension without evidence of malignancy. He received defibrotide for 18 days with improved liver tests, ascites, and coagulopathy. Tbili/Dbili peaked at 2.7/1.2. Labs continued to improve: AST 57/ALT 32, Tbili 1.5/Dbili 0.6, INR 1.1. One month later, he remains stable without recurrence of REILD.
Conclusion: We present a case of REILD in a pediatric liver transplant recipient likely secondary to Y-90 for recurrent liver cancer successfully treated with defibrotide. This case offers a novel treatment of REILD, meriting further validation and investigation.

The WebApp is sponsored by:
If you have any questions during the meeting, please go to the registration desk. Our emails will be monitored sporadically.
REGISTRATION DESK OPENING TIMES
Thursday, May 1, 2025, 07:00-17:30 Friday, May 2, 2025, 07:00-12:00